鎖骨 骨折 固定 254255
鎖骨骨折の看護の注意点 三角巾からは手首を出さずに長さを調整します。 手首を出すことで神経障害などを起こす可能性もあるため、患者さん自身にも注意してもらえるように説明を行います。 また、鎖骨バンドは臥床しているとき以外は装着しておくTi製JP鎖骨プレート S左(滅菌) 77mm Ti製JP鎖骨プレート S右(滅菌) 77mm 2.材質 純チタン 3.原理 骨奇形や骨折治療時に骨折間隙を埋め、骨折部位を応力から保護す るため、骨折片にネジ等で取り付ける非吸収性植込み型固定器具。骨折の後期治療には温泉が一番。 さて、再掲する。このようにヒモを結べば一人で固定できる。 これならば鎖骨バンドの着脱は一人で出来る。
锁骨固定带 骨科软固定支具 围领 颈椎固定牵引器 可调式膝关节固定支具 佛山市乙太医疗用品有限公司
鎖骨 骨折 固定
鎖骨 骨折 固定-その後クラビクルバンド(鎖骨骨折時に用いる8の字型のバンド)を使用した場合、処置料のj0013鎖骨又は肋骨骨折固定術もとりたいところですが、k 044 骨折非観血的徒手整復 3を算定しているので、手術後の処置の扱いとなり処置料のj0013 鎖骨又は肋骨骨折3)螺旋骨折 1.末梢牽引 2.遠位骨片を内転内旋 3.近位骨片を固定し遠位骨片を後方→前方に直圧 4.内・外側圧迫(骨折面間隙埋める) 5.遠位骨片を静かに内外旋(骨折部の適合) F 固定法



兒童嬰兒鎖骨骨折固定帶鎖骨帶肩膀骨折護具八字綁帶抗摔舒適透氣goodstuff080 蝦皮購物
骨折部の ズレが大きかったり 、 骨が外に飛び出す ような 開放骨折 や鎖骨の下にある 神経や血管 が傷ついているような場合は 手術 が行われます。 手術には、 鎖骨の中に鋼線を入れて固定 する方法( 髄内釘固定 )や金属の板を鎖骨にあてて 螺子で固定 する方法( プレート固定 )などが鎖骨が骨折した場合は、患者に石膏固定を施すか、またはきつい包帯を貼る。 治療法の選択は骨折の複雑さに依存するため、適切に分類することが重要です。 鎖骨骨折治療法の基本は骨片の完全性を回復することです。 鎖骨が骨折した場合は、患者に石膏固定を施すか、またはきつい包帯を貼る。 治療法の選択は骨折の複雑さに依存するため、適切に分類するあと鎖骨骨折では あわせて、手がしびれたりなどの 神経障害を疑う場合、 そんな重症の骨折を疑う場合は、 時間を問わず 整形外科医がいる 救急外来に連絡して受診しましょう。 そうでなければ、 rice療法を徹底して、 翌日の朝イチで、整形外科受診でも大丈夫です。 外来でやることは診察→レントゲン→整復固定→レントゲン
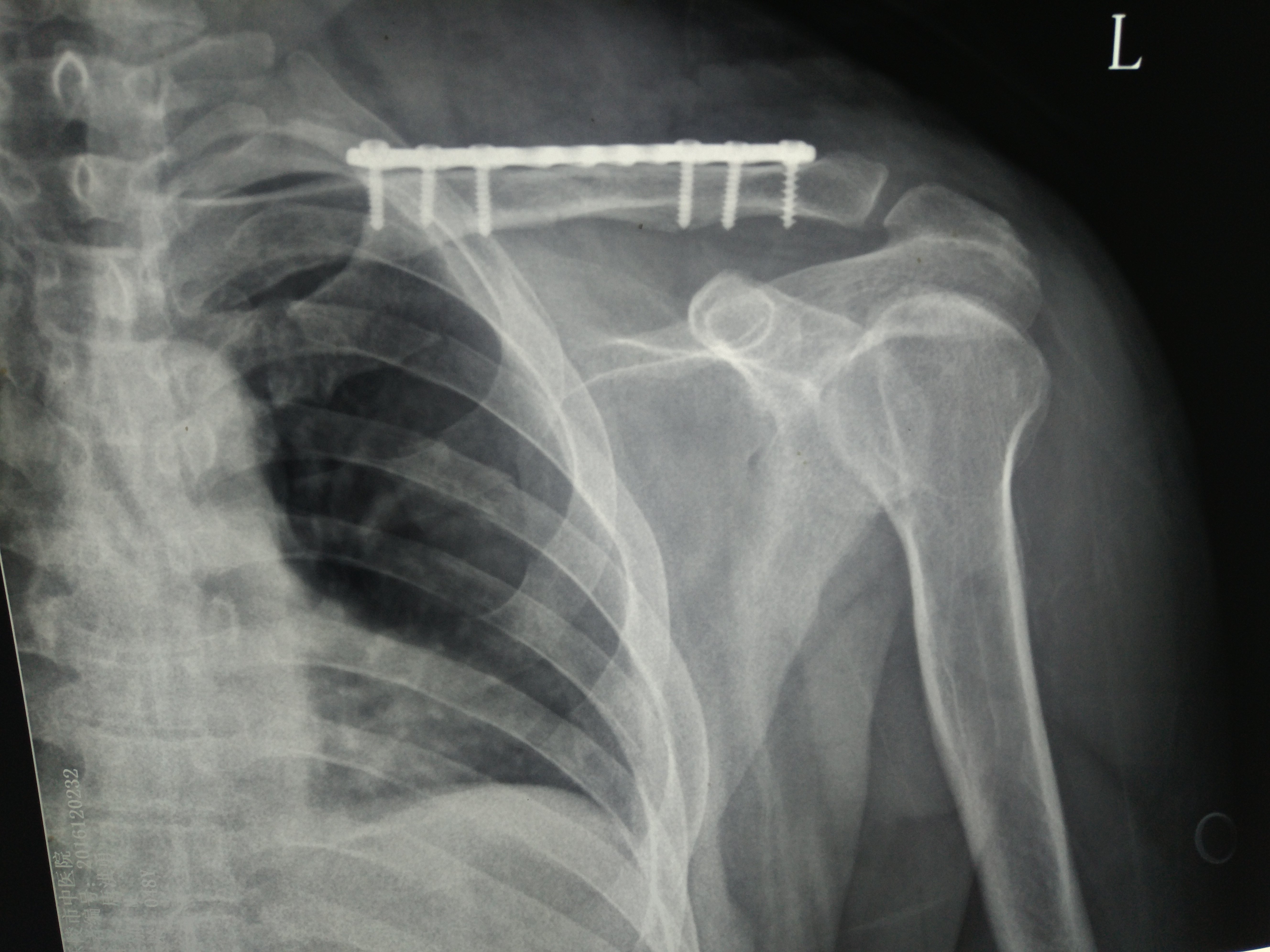
鎖骨骨折では、手術をしない場合とする場合があります。 手術しない場合 鎖骨は比較的癒合しやすい骨ですので、ずれが小さい場合には手術は行われません。 鎖骨バンドや三角巾などで骨折部を固定して、骨の癒合を待ちます。左鎖骨骨幹部 骨折と診断され, 術前X線所見からはNordqvistPeterson分 類Group1Cで中間骨片の転位が認められた(図2a) その他 骨折や肩関節疾患は認められなかった受傷翌日 , 左鎖骨骨 幹部骨折に対してロッキングプレートによる骨接合術が施行 された(図2b)鎖骨骨折の治療ってどんなことをするの? 鎖骨中央1/3の骨折 一番多い中央1/3の骨折では、通常は、 保存療法 を行います。
手臂護托 鎖骨手臂骨折吊帶肩關節脫臼固定手腕胳膊護托 名創家居館 類似商品 回報問題商品 $1,267 0~15% 回饋 均碼/新款薄雅款(加強固定) $1,267 樂天市場 森馬先生旗艦店 搶購去 整點特賣最低5折最高賺% 歷史價格 分享到Line 鎖骨骨折の治療として保存療法、手術療法の2つの治療法があります。 保存治療 ほとんどの鎖骨骨折は手術なしで治療が可能です。 鎖骨固定バンドなどで患部の安定性を確保して、時間をかけて骨折した部位の骨癒合を計ります。 長期間の固定が必要とJ0013に「鎖骨又は肋骨骨折固定術」というものがあります。 固定帯の料金はこれに含まれます。 胸部固定帯固定固定帯加算のイメージをお持ちと思いますが、 鎖骨骨折固定術は、むしろ「絆創膏固定術」に属するものになります。




锁骨 影响上肢6个动作 锁骨骨折 除复位固定 一首经方不可少 快资讯




锁骨骨折术后推荐品牌 新人首单立减十元 21年6月 淘宝海外
平成30年度(18) 診療報酬・保険点数・診療点数は今日の臨床サポートへ・J001-3 鎖骨又は肋骨骨折固定術 J001-3 鎖骨又は肋骨骨折固定術 500点 通知 鎖骨骨折固定術後の包帯交換は、区分番号「J000」創傷処置に準じて算定し、肋骨骨折固 定術の2回目以降の絆創膏貼用は、絆創膏固定術に準じ將病人的兩肩維持向後張開的姿勢,可減少鎖骨骨折的痛苦。 1 用鎖骨環或三角巾做成環狀放於兩側肩膀,向後綁好,再見懸臂帶同下列方法處理。(鎖骨環固定法、三角巾固定法) 2 傷側上臂和肩膀利用懸臂帶懸吊,並用另一棋帶將患側上肢和胸部緊綁在一起。 3 此法可用於肩胛骨骨折或肩關節脫臼。 鎖骨を骨折して、病院に行くと 鎖骨バンド と呼ばれるものを処方されます。 手術をするほどの怪我の場合はされないことがあります。 先ほど言ったように、 鎖骨は固定することが出来ないので、出来るだけ動かないようにするというのが目的です。




儿童锁骨骨折固定带医用价格 儿童锁骨骨折固定带医用图片 星期三




儿童锁骨骨折固定带八字绷带素材模板 儿童锁骨骨折固定带八字绷带图片下载 小麦优选
ただし、骨折のズレ方や骨の折れ方(粉砕型など)も様々ですから、ワイヤーで骨折部を巻いたり、大きめの板状の金属(プレート)を鎖骨の上に設置して固定したりすることもあります。 鎖骨骨折は基本的には骨のくっつき(骨癒合:こつゆごう)が良好な骨なので、多少のズレは許容される のですが、 鎖骨遠位端は骨が平らな形状になっていき、骨のくっつきも右鎖骨遠位端骨折に対しWplate固定術施 行。整復位、骨癒合ともに良好である。本症 例のJOAscoreは92点、外転可動域は術後8 週で140度、抜釘後170度と良好な結果であ 肩鎖関節脱臼および鎖骨遠位端骨折に対するフック付プレート固定術後の可動域について 19鎖骨骨幹部骨折治療の基本は保存治療である。 しかしRobinsonらは保存治療とプレート固定では、偽関節率は保存治療で有意に 高かったと報告し 5) 、Murrayらは危険因子として転位の大きさ、粉砕、喫煙を挙げている(図3) 6) 。




骨科小驛 鎖骨骨折切開復位內固定 每日頭條



小儿锁骨骨折固定带图 图片搜索
鎖骨 固定 バンドの特集では、鎖骨 固定 バンドに関連するおすすめ商品をご紹介しています。最短当日または翌日以降お届け。法人は1000円(税込)以上配送料無料!※配送料・お届けは条件にて異なりますカード決済可返品ok法人も個人事業主さまも、はたらくすべての方に便利プレートにも独自の工夫を加えることにより,鎖骨の複雑な形状にも対応ができるようになった. 鎖骨骨幹部骨折の最もsevereなtype2B2に対する独自のプレート固定で98%の骨癒合率が得ら れた. はじめに 転位のない鎖骨骨幹部骨折の治療法は保存療徒手整復・固定開始から 2~3週経過昷に 骨片転位が暬に減少した鎖骨骨折の一症例 藤田孝明1)2) 米田忠正2) 米田實2) 1)曓部会員 2)米田病院



兒童嬰兒鎖骨骨折固定帶鎖骨帶肩膀骨折護具八字綁帶抗摔舒適透氣goodstuff080 蝦皮購物



锁骨骨折八字绑法步骤 锁骨骨折的固定方法 妈妈网



鎖骨骨折常見問題與解答 雪花新闻




儿童锁骨骨折固定带医用价格 儿童锁骨骨折固定带医用图片 星期三




メルカリ 鎖骨 骨折 固定ベルト S サポーター 日用品 生活雑貨 旅行 470 中古や未使用のフリマ



锁骨骨折钢板固定图片 图片搜索



骨折固定带厂家 锁骨骨折的临床表现 活动



锁骨骨折切开复位内固定 手术图解 医学图库




医用儿童锁骨骨折固定带八字绷带素材模板 医用儿童锁骨骨折固定带八字绷带图片下载 小麦优选




健康刊物 全民健康基金會



護理康復器材 鎖骨骨折固定保護帶肩膀肩部受傷脫位脫臼帶肩包手臂康復器材護具 蝦皮購物



锁骨骨折八字绑法步骤 万图壁纸网




婴儿锁骨带 婴儿锁骨带图片 价格 品牌 评价和婴儿锁骨带销量排行榜




锁骨固定带护肩价格报价行情 京东




儿童锁骨骨折固定带医用价格 儿童锁骨骨折固定带医用图片 星期三



Q Tbn And9gcrr4psqkfqjitn1rfpvcgw0ab2rz 1 Ugfcatqyt30bxee0t1sq Usqp Cau




锁骨骨折固定带儿童 锁骨骨折固定带儿童图片 价格 品牌 评价和锁骨骨折固定带儿童销量排行榜



Q Tbn And9gcq Kxypcdk 9aovera Cu62clrcal Tpih4p07 Oee Usqp Cau



8字绷带固定锁骨骨折 万图壁纸网




鎖骨骨折の固定 Youtube




一位锁骨骨折选手的自我修养 知乎




锁骨骨折概述 病因 诊断 治疗 预防 微医 挂号网




一位锁骨骨折选手的自我修养 知乎




锁骨骨折怎么固定




一文掌握丨锁骨中段骨折的手术技巧 切口 骨膜 固定术 颈阔肌 网易订阅




矫正锁骨品牌及商品 京东



1




我的鎖骨骨折不開刀還有什麼治療選擇 醫病共享決策平台 臺北市立聯合醫院




锁骨骨折固定带 价格 说明 厂家 公司 3618医疗器械网



骨折固定带厂家 锁骨骨折的临床表现 看点快报




锁骨骨折医用固定带价格 锁骨骨折医用固定带图片 星期三




一文掌握丨锁骨中段骨折的手术技巧 切口 骨膜 固定术 颈阔肌 网易订阅




鎖骨固定帶肩胛骨鎖骨骨折鎖骨松脫坐姿糾正矯正駝背矯姿綁帶8字 露天拍賣



鎖骨骨折常見問題與解答 雪花新闻



取内固定物问题汇总 骨折愈合了 体内的钢板要不要取出来 创伤骨科 揭阳市榕江医院 粤东地区现代化骨科医院



锁骨骨折固定方法图片 锁骨骨折常用的固定方法 妈妈网



锁骨骨折的治疗结果研讨 疾病分享 快速问医生




儿童锁骨骨折固定带 商品搜索 京东




鎖骨骨折固定法 Youtube




一文掌握丨锁骨中段骨折的手术技巧 切口 骨膜 固定术 颈阔肌 网易订阅




锁骨骨折固定带医用 新人首单立减十元 21年7月 淘宝海外



嬰兒鎖骨骨折固定帶8八字形固定繃帶兒童駝背坐姿背部矯正帶透氣 蝦皮購物




肱骨或锁骨骨折急诊急救医疗固定绷带库存图片 图片包括有脱臼 破裂 首先 男朋友 创伤 纱布



悟空问答 锁骨骨折内固定已取出 可以健身吗 主要想练肩膀 4个回答



儿童锁骨带 万图壁纸网



锁骨骨折治疗方法有哪些锁骨骨折的3个方法盘点 快速问医生




锁骨骨折后内固定的螺丝松了骨头也没长好什么原因呢 第二人生



保健护具锁骨固定带新款锁骨骨折固定带锁骨矫正带批发满百包邮 价格 厂家 批发 图片 好推网



鎖骨骨折手術後固定照片檔及更多人照片 Istock




单肩气囊外固定装置固定治疗锁骨骨折 特色医疗 广西骨伤医院



锁骨骨折外固定示意图 万图壁纸网



一种锁骨骨折背夹式肩外展固定器 8 全国技术转移公共服务平台



锁骨骨折 问上医




Injury 急性中段锁骨骨折手术固定的并发症 新闻频道 手机搜狐




鎖骨骨折常見問題解答 肩部 醫生文章 亞洲專科醫生



锁骨骨折石膏固定图 万图壁纸网




儿童锁骨骨折固定带宝宝锁骨带婴儿骨折绑带小儿锁骨八8字形



男子锁骨骨折固定钢钉游入心脏医生称是谜 图 搜狐新闻



头条文章




鎖骨骨折常見問題解答 肩部 醫生文章 亞洲專科醫生



锁骨骨折支架外固定第1页 驾考预约大全




锁骨骨折要不要做手术 知乎




儿童锁骨骨折固定带 商品搜索 京东




儿童锁骨骨折固定带医用价格 儿童锁骨骨折固定带医用图片 星期三



锁骨骨折钢板固定 医联




鎖骨骨折常見問題解答 肩部 醫生文章 亞洲專科醫生



鎖骨骨折的固定處理方法



头部固定术 胸部固定术 固定外伤固定术 瞎想闲谈 村美小站



锁骨骨折切开复位内固定 手术图解 医学图库




護肩護理 鎖骨帶鎖骨骨折胸骨鎖骨關節松脫固定帶矯正肩部姿勢帶 露天拍賣




骨科醫師陳彥名 開刀治療 鎖骨骨折 降低癒合不良外觀變形



骨折固定带厂家 锁骨骨折的临床表现 活动



交通事故常见伤情锁骨骨折 广东衡正司法鉴定所官网



传统石膏已被骨科支具替代 骨折后用的支具有这些 科普中国 人民网




专用锁骨骨折固定带图 第1页 图说健康




鎖骨骨折 Fracture Of The Clavicle 小小整理網站smallcollation




嬰兒鎖骨骨折固定小學生含胸駝背八字帶小孩鎖骨八字綁帶



锁骨固定带使用方法及其相关知识 骨折




儿童锁骨骨折固定带八字绷带销量排行榜 儿童锁骨骨折固定带八字绷带品牌热度排名 小麦优选



锁骨骨折石膏外固定 搜狗图片搜索



锁骨骨折钢板图片 图片欣赏中心 急不急图文 Jpjww Com




中医正骨手法如何调理锁骨骨折的呢 这种复位手法您有用嘛 知乎



小儿锁骨骨折固定带图 万图壁纸网




锁骨 骨折 带子 支持 妇女 肩 穿 固定不动 Canstock



锁骨骨折固定方法图片 图片搜索



锁骨固定带 骨科软固定支具 围领 颈椎固定牵引器 可调式膝关节固定支具 佛山市乙太医疗用品有限公司



现场外伤急救技术 下 急救专题 校医院




锁骨固定带医用骨折销量排行榜 锁骨固定带医用骨折品牌热度排名 小麦优选



1




锁骨骨折钢板内固定




儿童锁骨骨折固定带医用素材模板 儿童锁骨骨折固定带医用图片下载 小麦优选




锁骨骨折被植入钢板 满一年要取出 需要注意什么 知乎




鎖骨骨折需要多久恢復正常 需要多久能幹重活嗎 每日頭條



新店促銷冠愛醫用成人鎖骨骨折固定帶兒童肩胛骨骨折固定矯形器8字綁帶 蝦皮購物



锁骨骨折钢板固定图片 图片搜索




幼儿锁骨骨折固定带 新人首单立减十元 21年7月 淘宝海外




锁骨骨折固定带 新人首单立减十元 21年7月 淘宝海外



獨家款兒童鎖骨骨折固定帶寶寶鎖骨帶嬰兒骨折綁帶小兒鎖骨八8字形繃帶 蝦皮購物
コメント
コメントを投稿